摘要:目的探索右美托咪定调控C-C趋化因子配体2(CCL2)-C-C趋化因子受体2(CCR2)通路对胆囊癌细胞增殖、侵袭和细胞周期的影响。方法将GBC-SD细胞分为对照组、右美托咪定低浓度( 2μmol/L 组、右美托咪定高浓度 (4μmol/L) 组、右美托咪定高浓度 +CCL2 组 (4μmol/L 右美托咪定和 10μg/L CCL2蛋白);克隆形成实验和Edu实验测定细胞增殖;Transwell实验测定细胞侵袭和迁移;流式细胞术测定细胞周期和凋亡; Westernblot 测定增殖细胞核抗原(PCNA)、细胞周期蛋白D1(CyclinD1)、基质金属蛋白酶(MMP)-2、MMP-9、Bcl-2相关X蛋白(Bax)、胱天蛋白酶-3(Caspase -3 )、CCL2、CCR2蛋白表达;裸鼠移植瘤实验观察胆囊癌移植瘤生长情况。结果低、高浓度右美托咪定处理后,克隆形成数、Edu阳性率、侵袭及迁移数下降,PCNA、CyclinD1、MMP-2、MMP-9、CCL2及CCR2蛋白表达量降低,G2/M期、S期细胞比例减少,G0/G1期细胞比例、细胞凋亡率及Bax、Caspase-3蛋白表达量升高,且高浓度右美托咪定的效果更明显 (P<0.05) ;右美托咪定对胆囊癌细胞增殖、侵袭、迁移和细胞周期的抑制作用及对细胞凋亡的促进作用可被CCL2蛋白所逆转 (P<0.05) ;体内实验显示,右美托咪定可降低裸鼠肿瘤质量、肿瘤体积及肿瘤组织CCL2、CCR2蛋白表达量 (P<0.05 )。结论右美托咪定通过抑制CCL2-CCR2通路抑制胆囊癌细胞增殖、侵袭,并将细胞周期阻滞在GO/G1期。
摘要:目的 阐明新型冠状病毒(SARS-CoV-2)B.1.1.7变异株核衣壳蛋白(N蛋白)特异性突变体 (Np3L,NM234I 和NR203K-C204R-T205I)与新型冠状病毒感染(COVID-19)患者临床状态的相关性,揭示其对N蛋白液-液相分离(LLPS)现象和宿主天然免疫应答的影响。方法基于全球共享流感数据倡议组织(GISAID)数据库的SARS-CoV-2B.1.1.7谱系全基因组测序数据,筛选与轻/重症临床表型显著相关的非同义突变位点。针对高频N蛋白突变体,采用双荧光素酶报告系统定量检测干扰素(IFN)-β启动子转录活性;qPCR检测IFN-β、白细胞介素(IL)-6、肿瘤坏死因子 (TNF)-α mRNA表达水平;通过激光共聚焦显微观察LLPS特征。蛋白印迹检测宿主线粒体抗病毒信号蛋白(MAVS)的泛素化修饰状态。结果共鉴定出 17640 个非同义突变位点,其中突变频率 >1% 且有65个与轻症相关,20个与重症相关。与重症相关的N蛋白突变位点为D3L、M234I、R203K-G204R-T205I。N蛋白及 NM234I,NR203K-G204R-T205I 突变体均可抑制IFN-β的启动子活性 ?P<0.05 )。相较于野生型N,NR203K-G204R-T2051突变体可显著降低IFN- ?β 、IL-6和TNF- α∝ mRNA 水平 (P<0.05) ),同时可通过分散LLPS凝聚点的形成而改变相分离状态。但N突变体不影响宿主MAVS的泛素化修饰。结论SARS-CoV-2 B.1.1.7变异株N蛋白突变体可通过改变LLPS状态抑制天然免疫应答,进而影响 COVID-19患者的临床预后。
摘要:自的探讨中性粒细胞CD64(nCD64)、C反应蛋白(CRP)和乳酸脱氢酶(LDH)联合检测对儿童难治性肺炎支原体肺炎(RMPP)的诊断价值。方法选取肺炎支原体感染的患儿147例,根据病情和治疗情况分为RMPP组(70例)和普通肺炎支原体肺炎(GMPP)组(77例)。收集研究对象年龄、性别、入院24h内血常规白细胞计数(WBC)、血清降钙素原(PCT)、CRP和LDH;采用流式细胞术检测患儿血液的nCD64水平;采用多因素Logistic回归分析患儿RMPP病情的影响因素;绘制受试者工作特征(ROC)曲线评估nCD64、CRP和LDH联合检测对儿童RMPP的诊断价值。结果RMPP组住院时间长于GMPP组 (P<0.05 )。RMPP组患儿nCD64、CRP和LDH水平高于GMPP组 (P< 0.05),WBC和PCT差异无统计学意义。多因素Logistic回归分析显示nCD64、CRP和LDH升高是儿童RMPP的危险因素( P<0.05 );ROC曲线显示nCD64、CRP和LDH诊断儿童RMPP的曲线下面积(AUC)分别为0.817、0.863和0.805,三个指标联合检测的AUC为 0.948 。结论RMPP患儿血液中nCD64、CRP和LDH水平较GMPP患儿升高,三指标联合检测对儿童肺炎支原体肺炎中的RMPP具有较高的诊断价值。
摘要:目的分析1990—2021年中国痛风疾病负担变化趋势,构建年龄-时期-队列模型(APC)探讨年龄、时期与出生队列对痛风流行病学指标的独立影响,并对2022—2035年中国痛风疾病负担进行预测。方法从全球疾病负担(GBD)2021数据库中提取1990—2021年中国痛风疾病负担相关指标,使用分段回归分析疾病负担趋势变化,采用APC模型分析痛风患病风险及伤残调整寿命年(DALYs)风险的年龄、时期、出生队列效应,使用贝叶斯年龄-时期-队列模型(BAPC)预测 2022—2035年中国痛风年龄标化的患病率(ASPR)和伤残调整寿命率(ASDR)。结果1990——2021年,中国痛风的发病数、患病数和DALYs总量均大幅增加,年龄标化的发病率(ASIR)、ASPR、ASDR整体呈上升趋势。2021年较1990年发病数、患病数和DALYs分别增加 160.45% 、181.12%和 175.93% ;三者的年龄标化率分别上升 23.74%.26.48%.25.89% 。分段回归分析显示,1990—2021年ASIR、ASRP和ASDR的平均年度变化百分比(AAPC)分别为 0.73%.0.82%.0.80% 。2021年,患病数和DALYs在男性 55~59 岁组、女性 65~69 岁组达到峰值;患病率和DALYs率随年龄持续升高,男性自30岁起、女性自40岁起明显增加。整体上,男性在各年龄组的患病人数、患病率、DALYs数及DALYs率均高于女性。APC模型结果显示,患病率和DALYs率的年龄效应、时期效应和出生队列效应均呈整体上升趋势。分解分析显示,人口老龄化对1990—2021年发病数和DALYs增长的贡献最大。BAPC预测结果显示,至2035年,中国痛风的ASPR和ASDR将分别升至890.50/10万和 27.26/10 万。结论预测2022—2035年我国痛风的ASPR、ASDR将持续增加,需针对高发人群制定有效的公共卫生预防政策,以期降低痛风造成的重大疾病负担。
摘要:目的探明妊娠期糖尿病(GDM)孕妇分娩期宫内感染(IAI)的相关因素,并分析相关因素对IAI的预测价值。方法回顾性收集360例GDM孕妇,其中发生IAI孕妇120例(IAI组),未发生IAI的GDM孕妇240例(对照组)。收集2组孕妇一般临床资料、产时胎心监护情况、胎盘病理、妊娠结局及糖化血红蛋白(HbAlc)结果,采用多因素Logistic 回归探究GDM患者发生IAI的影响因素。应用受试者工作特征(ROC)曲线评估联合HbAlc水平、产次、破膜时间对GDM患者发生IAI的预测价值,计算ROC曲线下面积(AUC)。结果IAI组首次妊娠比例、初产妇比例、人工破膜比例、使用催产素比例、破膜时间、HbA1c均高于对照组 (P<0.05 );IAI组分娩孕周小,产钳助产及剖宫产率、羊水污染发生率均较高 (P<0.05 ;IAI组产时异常基线胎心比例及变异减速发生率较对照组升高 (P<0.05 )而胎心晚期减速发生率及Ⅱ类胎心监护比例较对照组降低 (P<0.05 );2组间产时基线变异情况及加速情况差异无统计学意义?P>0.05 。IAI组轻度新生儿室息比例及新生儿转科率高 (P<0.05 )。多因素Logistic回归示HbA1c水平升高( OR= 3.342,95%CI:1.539~7.257, 和破膜时间延长 (OR=1.001,95%CI:1.000~1.001 是GDM孕妇发生IAI的独立危险因素,经产妇则是保护因素 (OR=0.113,95%CI;0.046~0.278) ;联合HbA1c、产次、破膜时间预测分娩期IAI的AUC为0.819(95%CI:0.772\~0.865),敏感度为0.742,特异度为 0.767 。结论HbA1c水平、破膜时间、产次是GDM患者产时IAI的独立影响因素,联合3种因素对预测GDM孕妇IAI具有较高临床价值。
摘要:目的探究反复种植失败(RIF)患者子宫内膜微生物组特征与后续移植结局的相关性。方法回顾性选取再次接受胚胎移植的438例RIF患者,根据胚胎移植后8周的妊娠情况将患者分为妊娠组( n=85 与未妊娠组( n= 353),比较2组临床资料与子宫内膜微生物组特征以及组成情况;二分类Logistic回归分析影响因素并采用受试者工作特征(ROC)曲线预测影响因素效能;进一步分析上述危险因素与Shannon指数在RIF患者后续移植结局中的交互作用。结果未妊娠组患者基础雌二醇(E2)、空腹胰岛素(Fins)、总胆固醇(TC)、三酰甘油(TG)水平高于妊娠组(均P<0.05 );2组梭杆菌门丰度、芽孢杆菌属丰度及Alpha多样性(Chaol、Shannon、Simpson)指数差异均有统计学意义(均 P<0.05 );二分类Logistic回归分析显示,梭杆菌门丰度升高( OR=1.628,95%CI=1.416~1.841) 、芽孢杆菌属丰度降低(OR=0.725,95%CI:0.557\~0.934)、E2升高(OR=1.654,95%CI:1.343\~1.965)、Fins升高( OR=1.691 , 95%CI :1.393\~1.980)和Shannon指数降低 (OR=0.388,95%CI:0.075~0.697) 是后续移植失败的独立危险因素。ROC曲线分析显示,Shannon指数的曲线下面积为 0.836(95%CI:0.782~0.890) ,预测效能最高;亚组梭杆菌门、芽孢杆菌属、E2、Fins在Shannon指数对RIF患者后续移植结局中存在显著交互作用。结论RIF患者后续移植失败的独立危险因素可作为预测RIF患者后续移植结局的敏感指标,且Shannon指数临床预测价值更高。
摘要:目的探究重症急性胰腺炎(SAP)患者并发急性非结石性胆囊炎(AAC)的影响因素,并构建预测模型。方法回顾性选取220例SAP患者的临床资料,根据住院期间是否并发AAC将患者分为AAC组(64例)和非AAC组(156例)。比较2组一般临床资料[年龄、性别、吸烟、饮酒、体质量指数(BMI)、SAP病因、禁食水时间、基础疾病、合并脓毒症]、实验室指标[全身炎症反应指数(SIRI)、C反应蛋白与白蛋白比值(CAR)、白细胞计数与血小板平均体积比值(WMR)],采用多因素Logistic回归法分析SAP患者住院期间发生AAC的影响因素,基于影响因素构建列线图预测模型,受试者工作特征(ROC)曲线、校准曲线、临床决策曲线分析(DCA)评估预测模型的预测效能。结果与非AAC组比较,AAC组禁食水时间长、合并脓毒症比例高,入院时总胆红素(TBil)、SIRI、CAR、WMR水平高 (P<0.05) 。多因素Logistic 回归分析显示,禁食水时间长和SIRI、CAR、WMR、TBil水平高是SAP患者并发AAC的独立危险因素 (P< 0.05)。依据上述5个变量构建回归方程: Logit(P)=-11.364+0.444×3′ 禁食水时间 +0.217×SIRI+0.278×CAR+1.869× W MR+0.053×TBil ,依此构建列线图预测模型。ROC曲线示,列线图风险预测模型预测AAC的曲线下面积(AUC)及95%CI 敏感度、特异度分别为 0.872(95%CI:0.824~0.921).76.56%87.18%Boot strap法验证结果示,校准曲线与实际曲线一致性良好;Homser-Lemeshow检验显示,拟合优度良好;DCA示,在阈值为 0.04~0.99 时,该列线图预测模型可使患者临床获益。结论基于以上危险因素构建的列线图预测模型具有良好的预测效能,可为临床早期识别AAC高风险患者提供参考。
摘要:目的探究重症超声导向的个体化呼吸管理对新生儿重症监护病房(NICU)呼吸重症患儿肺通气的影响。方法纳入NICU呼吸重症患儿96例并按照随机数字表法分为观察组和对照组,每组48例,其中对照组采用常规呼吸管理,观察组在对照组的基础上加以重症超声导向的个体化呼吸管理,比较2组患儿干预前后临床指标,血气分析及呼吸动力学指标,包括动脉血氧分压 、二氧化碳分压 ]、动脉血酸碱度 Φ?pH 、气道阻力,胸肺顺应性,病情严重程度[小儿危重病病历评分表(PCIS)、简易新生儿急性生理学评分I(SNAP-I)]及并发症发生情况。结果观察组机械通气时间、退热时间、白细胞计数(WBC)恢复正常时间、NICU入住时间、住院时间均短于对照组(P<0.05 。干预后,2组 p(02) 、动脉血 pH 、胸肺顺应性升高, ??p(CO2) 、气道阻力降低 (P<0.05 ),且观察组改善程度优于对照组 (P<0.05 )。2组PCIS评分升高,SNAP-I评分降低 (P<0.05 ,且观察组改善程度优于对照组 (P<0.05 )。观察组并发症总发生率低于对照组 (P<0.05 。结论重症超声导向的个体化呼吸管理可显著提高NICU呼吸重症患儿的肺通气功能,改善血氧状况,加快病情好转。
摘要:目的探讨关键肌运动点针刺联合运动训练对脊髓损伤(SCI)患者神经电生理指标、肢体功能及生活质量的影响。方法选取2022年9月—2024年6月首都医科大学附属北京康复医院康复诊疗中心收治的SCI患者80例,采用随机数字表法分为对照组(予以常规针刺联合运动训练,40例)与观察组(予以关键肌运动点针刺联合运动训练,40例)。比较2组患者干预前、后神经电生理指标[运动神经传导速度(MNCV)、感觉神经传导速度(SNCV)]、肢体功能[Fugl-Meyer评估量表(FMA)、改良Ashworth量表(MAS)]及生活质量[Barthel指数、功能独立性测量(FIM)]。结果干预后,2组正中神经、尺神经、胫神经、腓总神经的MNCV、SNCV水平,FMA评分,Barthel指数,FIM评分均较干预前升高;MAS评分较干预前降低( ?P<0.05? ;且观察组上述各指标变化较对照组显著 ?P<0.05 )。结论关键肌运动点针刺联合运动训练能有效改善SCI患者的神经电生理指标、肢体功能及生活质量,是一种可行的康复干预方案。
摘要:目的探讨经皮神经电刺激(TENS)联合动态关节松动术(MWM)对膝骨关节炎(KOA)疗效及肌骨超声、骨代谢指标的影响。方法选取KOA患者90例,采用随机数字表法分为对照组(常规康复 +′ TENS治疗,45例)和观察组(对照组基础上进行MWM,45例)。对比2组的临床疗效、膝关节功能评估、肌骨超声指标、骨代谢指标。结果观察组临床疗效优于对照组 (P<0.05 );治疗2、6个月,观察组西安大略和麦克马斯特大学骨关节炎指数(WOMAC)评分低于对照组,Lysholm膝关节功能评分高于对照组 (P<0.05 ;治疗2、6个月,观察组关节软骨厚度、骨钙素(BGP)、骨特异性碱性磷酸酶(BALP)高于对照组,滑膜厚度、髋上囊腔积液、酒石酸盐酸性磷酸酶异构体(TRACP-5b)低于对照组 (P<0.05 )。结论TENS联合MWM治疗KOA患者不仅能改善膝关节功能,还能优化肌骨超声指标和调节骨代谢指标。
摘要:目的分析异柠檬酸脱氢酶(IDH)野生型胶质母细胞瘤(GBM)患者临床病理特征及预后的影响因素。方法回顾性分析2014年1月—2024年7月宁夏医科大学总医院经病理确诊的137例GBM患者,收集患者年龄、性别、民族,是否有癫痫、神经功能受损,放疗前卡氏功能状态(KPS)评分,肿瘤切除程度、肿瘤侧别、肿瘤位置、肿瘤最大径、IDH突变状态、Ki-67指数、MGMT启动子甲基化信息、术后同步放化疗情况和辅助化疗周期。多因素 Cox 回归分析GBM患者预后的影响因素;Kaplan-Meier生存曲线比较不同临床特征GBM患者生存情况。结果137例GBM患者的中位生存时间为20.9个月,其1年、2年、3年生存率分别为 79.7%.36.9%. 16.4%。放疗前KPS评分、MGMT启动子是否甲基化、术后是否同步放化疗及辅助化疗周期数对GBM患者中位生存期有影响 (P<0.05) 。多因素Cox回归分析显示,MGMT启动子未甲基化、术后未同步放化疗及辅助化疗周期数 <6 个是GBM患者生存的独立危险因素(P<0.05) 。放疗前KPS评分 <80 分、MGMT启动子未甲基化、术后未同步放化疗、辅助化疗周期数 <6 个患者的累积总生存率分别低于放疗前KPS评分 ?80 分、MGMT启动子甲基化、术后同步放化疗和辅助化疗周期数 ?6 个的患者(P<0.05) 。结论MGMT启动子未甲基化、术后未同步放化疗及辅助化疗周期数 <6 个是影响IDH野生型GBM患者生存期的独立危险因素。
摘要:自的通过系统综述与荟萃分析评估口腔鳞状细胞癌(OSCC)患者口腔微生物群组成的改变。方法计算机检索PubMed、Embase、Cochrane 图书馆、Webof science、万方数据、中国知网数据库,搜集关于OSCC口腔微生物组的研究,检索时限均为建库至2025年3月25日。依据既定纳入与排除标准筛选文献并提取数据,采用Stata 17.0软件对纳入研究中细菌属丰度变化进行Meta分析。结果共纳入23项研究,包含1718例参与者。纳入研究分为病例对照研究(14篇)以及癌组织与配对癌旁组织比较研究(9篇)两类。Meta分析结果显示,在属水平上,梭杆菌属在OSCC患者[标准化均差 (SMD)=0.52,95%CI:0.39~0.65,P<0.001- 及癌组织 (SMD=0.89,95%CI:0.55~1.24,P<0.001) 中的丰度均增高;卟啉单胞菌属在OSCC患者 (SMD=0.17,95%CI;0.02~0.33,P=0.030) 及癌组织 (SMD=0.31,95%CI 0.10~0.53,P=0.005 中的丰度亦增高;而链球菌属在OSCC患者 (SMD=-0.43,95%CI:-0.85~-0.01,P=0.044) 及癌组织(SMD=-0.66,95%CI:-0.96~-0.37,P<0.001) 中的丰度则降低。结论OSCC患者及其癌组织中梭杆菌属、叶啉单胞菌属丰度增高,而链球菌属丰度降低,提示口腔菌群失调可能与OSCC的发生发展相关。
摘要:目的探讨双歧杆菌三联活菌肠溶胶囊辅助治疗妊娠期糖尿病(GDM)合并抑郁患者的疗效及其对肠道菌群、炎症指标的影响。方法选取168例GDM合并抑郁患者并采用随机数字表法分为对照组(81例,心理疏导 + 饮食控制+适当运动)和观察组(87例,在对照组的基础上联用双歧杆菌三联活菌肠溶胶囊,每日2次,每次2粒),2组连续治疗1个月后进行疗效评价。治疗前和治疗1个月后采用抑郁自评量表(SDS)评价患者的抑郁程度,对患者的空腹血糖(FBG)餐后2h血糖(2hPG)进行检测,荧光定量PCR法检测肠道菌群,分别采用酶联免疫吸附试验和免疫比浊法检测炎症指标血清肿瘤坏死因子-a(TNF-a)和血清C反应蛋白(CRP)水平,全自动血液分析仪检测外周静脉血中性粒细胞和淋巴细胞计数,计算中性粒细胞与淋巴细胞比值(NLR),记录药物不良反应。结果观察组患者的总有效率为 96.55% ,高于对照组的 87.65%(P<0.05) 。治疗1个月后,观察组和对照组SDS评分、 ,FBG,2hPG 及血清TNF- σa 、CRP和NLR均较治疗前有所下降,且观察组低于对照组 (P<0.05) 。治疗1个月后,对照组的肠道菌群数量与治疗前比较差异无统计学意义;观察组乳酸杆菌和双歧杆菌的菌群数量相较于治疗前增加,且观察组高于对照组;观察组大肠埃希菌、脆弱拟杆菌的菌群数量较治疗前降低,且观察组低于对照组 (P<0.01 )。观察组的不良反应发生率为 3.45% ,与对照组的 1.23% 比较差异无统计学意义。结论双歧杆菌三联活菌肠溶胶囊辅助治疗GDM合并抑郁患者具有较好的临床疗效,有助于血糖的控制以及肠道菌群正向调节,并可降低炎症反应,安全性好。
摘要:目的探讨肾安汤治疗慢性肾功能不全的临床疗效,并系统评价其对患者免疫调节、肾功能及脂代谢的影响。方法采用前瞻性随机对照研究设计,选取102例慢性肾功能不全患者,随机分为对照组与观察组各51例,对照组接受西医常规治疗,观察组在对照组治疗基础上加用肾安汤治疗。评估2组患者中医证候积分、临床疗效;于治疗前、治疗8周后采用免疫透射比浊法检测免疫球蛋白 (Ig)G,IgM,IgA 水平;24h尿蛋白定量 (24hUP )、血胱抑素(CysC)、血肌酐(Scr)、血钙、血磷、三酰甘油(TG)及总胆固醇(TC);酶联免疫吸附试验(ELISA)测定活性氧(ROS)、晚期蛋白氧化产物(AOPPs);记录治疗期间出现的恶心、腹泻、头晕及皮疹等不良反应发生情况。结果治疗8周后,2组的中医证候积分、24 hUP、Cys C、Scr、血磷、TG、TC、ROS、AOPPs均较治疗前降低,且观察组更低 ?P<0.05 );2组的IgG、IgM 、IgA、血钙均较治疗前均升高,且观察组更高 (P<0.05 )。观察组临床总有效率高于对照组 94.12% Us. 80.39% ,P<0.05 )。观察组出现恶心1例、头晕1例、皮疹1例;对照组出现恶心1例、腹泻1例、头晕2例,2组不良反应发生率比较差异无统计学意义。结论在西医常规治疗基础上加用肾安汤治疗慢性肾功能不全患者可提高临床疗效,并改善免疫功能、肾功能、脂代谢及氧化应激指标,安全性良好。
摘要:目的探究局部振动治疗(LVT)对痉挛型偏瘫脑性瘫痪(SHCP)儿童上肢精细运动功能和表面肌电特征的影响。方法60例SHCP患儿采用随机数字表法分为观察组和对照组,各30例;对照组予以常规康复治疗(物理治疗、作业疗法、感觉统合训练、理疗及传统中医康复治疗),观察组在常规康复治疗基础上接受患侧上肢LVT方案,均治疗12周。对比2组间及治疗前后偏瘫侧上肢精细运动功能[Peabody精细运动发育量表(PDMS-FM)、精细运动能力测试量表(FMFM)]、肱二头肌表面肌电均方根(RMS)值。结果与治疗前比较,治疗后2组PDMS-FM量表中抓握能区、视觉运动统合能区、精细运动发育商评分以及FMFM量表中上肢关节活动能力、抓握能力、操作能力、手眼协调能力评分和总分均上升,2组肱二头肌RMS值均降低 (P<0.05 )。治疗后,观察组PDMS-FM量表中抓握能区、视觉运动统合能区评分均高于对照组,FMFM量表中上肢关节活动能力、抓握能力评分及总分均高于对照组,肱二头肌RMS值低于对照组 (P<0.05 )。结论LVT疗法可以提高常规康复治疗对SHCP患儿的上肢精细活动功能及肌电图特征的改善作用。
摘要:肺动脉取栓是治疗急性肺栓塞(PE)的重要方法,其成功实施依赖于多学科团队的紧密协作。本文通过1例急性PE患者的诊疗过程,探讨肺动脉取栓的适应证、手术策略及多学科诊疗(MDT)的关键环节。该患者因喘憋就诊,经影像学确诊为肺栓塞,危险分层为中高危,在呼吸内科、心内科、心外科、影像科、超声科等多学科协作下,成功实施了经皮机械血栓清除术。术后患者血流再通、症状显著缓解,未发生严重并发症。该文为临床医生提供了肺动脉取栓MDT的参考框架,优化了肺栓塞患者的救治流程,为肺栓塞取栓治疗的病例选择和诊疗策略提供参考。
摘要:随着磁共振成像等影像学技术的不断发展,脑转移瘤的检出率越来越高。其中囊性脑转移发病率虽然远低于实性脑转移,但囊性脑转移瘤患者病情急,占位效应明显,是临床亟待解决的问题。既往文献报道囊性脑转移多见于乳腺癌和肺腺癌,特别是驱动基因阳性肺癌患者。该文报告1例以神经系统症状起病的小细胞肺癌囊性脑转移患者在多学科诊疗模式下获得临床治愈,在影像学动态评估以及微小残留病灶检测下避免过度治疗,延长生存期的基础上获得较高的生活质量。
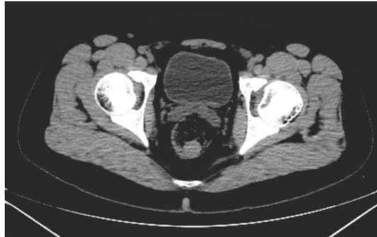
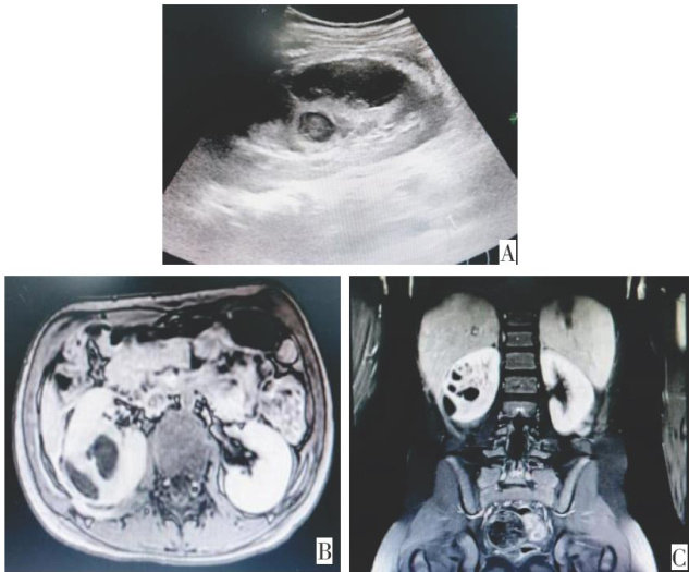
摘要:儿童肾脓肿是一种少见的泌尿系统感染性疾病,其临床表现常不典型,给临床医生的诊断带来巨大的挑战。文章报告了1例肾脓肿患儿,该患儿间断发热,最终确诊肾脓肿,抗感染及穿刺引流后痊愈,完善肾脓液病原微生物宏基因组检测示脆弱拟杆菌,文章从诊断、治疗、实验室检测及预后问题进行探讨。
摘要:直肠黏膜下血管平滑肌脂肪瘤(AML)临床罕见,该文报告1例直肠型AML的内镜下诊治过程,并通过回顾该患者的临床资料,同时结合文献复习,以期加深对消化道AML的现有认识,避免临床误诊误治。
摘要:足底筋膜炎(PF)是跟痛症(HP)的主要病因。富血小板血浆(PRP)作为一种新兴的生物治疗手段,具有独特的生物学特性,在抑制炎症反应和促进组织修复方面展现出显著的双重治疗优势。该文就PF的发病机制、PRP的生物学特性,以及PRP在PF的疼痛管理和功能预后评估中的应用,特别是PRP在改善足底筋膜厚度(PFT)中的应用予以综述。